Radiografías y estudios dentales
en Uruapan
Diagnóstico Radiodental Uruapan, contamos con:
- 2 Ortopantomógrafos de bajas dosis
- 2 Periapiapicales
- 2 Módulos para fotografía y modelos de estudio.
Esto aunado a nuestro vasto personal, disminuye considerablemente el tiempo de atención. Somos los únicos en Uruapan con este sistema.
PARA TU SEGURIDAD:
Contamos con medidor de dióxido de carbono y purificador de aire para limpiar el ambiente de virus y bacterias.
ALTA CALIDAD EN ESTUDIOS PARA CUIDADO DE TU SALUD DENTAL
En
Diagnóstico Radiodental Uruapan somos especialistas en toma de
radiografías y estudios dentales, un centro especializado ubicado en
Uruapan, Uruapan
con más de 20 años trabajando para ustedes y agradecemos el que estén y sigan con nosotros todo este tiempo.
Somos el
gabinete radiológico
con amplia trayectoria, renovándonos constantemente y ofreciendo el mejor servicio con la mejor calidad. Los esperamos con gusto para atenderles como ustedes se merecen.

Diagnóstico Radiodental Uruapan
“23 años a su servicio en radiografías y estudios dentales”

SERVICIOS DE RADIOGRAFÍAS Y ESTUDIOS DENTALES EN URUAPAN
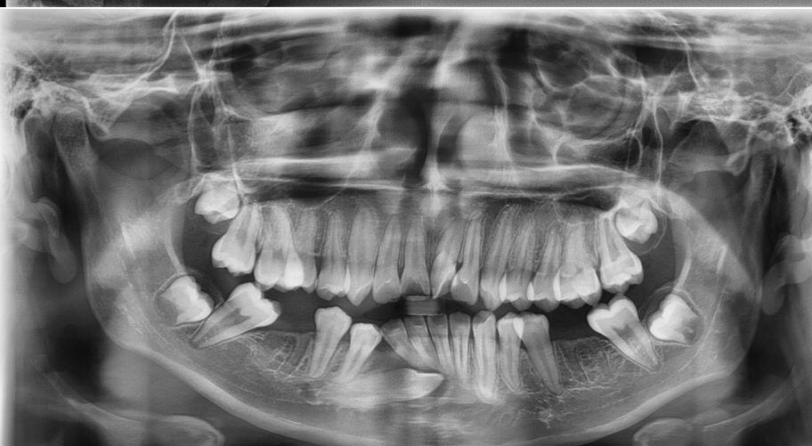
- Ortopantomografía (radiografía panorámica dental)
- Radiografía lateral de cráneo
- ATM
- AP
- PA
- Estudios dentales periapicales y oclusales
- Estudios de fotografía clínica para diagnóstico de ortodoncia
- Cefalometría computarizada
- Modelos de estudio para ortodoncia (modelos en zócalo, recortados y pulidos).
RECOMENDACIONES IMPORTANTES PARA ANTES DE REALIZAR EL ESTUDIO RADIOLÓGICO.
1. Se debe avisar al personal si se tiene la sospecha de embarazo.
2. Para los modelos de estudio, es recomendable que se presente sin haber ingerido ningún alimento por lo menos 2 horas antes.
3. Para la toma de fotografías se debe presentar con la frente y oídos despejados.
4. Se debe presentar con la boca y dientes limpios, sin aretes, cadenas, broches u objetos metálicos en cabeza y cuello.
5. Los estudios deberán pagarse al momento de ordenarlos.
¡CONTACTE A DIAGNÓSTICO RADIODENTAL URUAPAN Y SOLICITE LOS SERVICIOS DE RADIOLOGÍA DENTAL!
Contact Us
Gracias por contactarnos.
Nos pondremos en contacto con usted tan pronto como sea posible
Ups, hubo un error al enviar tu mensaje.
Por favor, inténtelo de nuevo más tarde






